Il y a 11 mois
Le contenu d'ophtalmo.tv est réservé aux ophtalmologistes et professionnels de santé : Inscrivez vous pour entrer dans l'univers de la première webTV francophone dédiée à l'ophtalmologie et la vision !
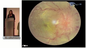
Cas clinique d'Ophtalmopédiatrie - Sarcoïdose probable
Par : Dr Emilie ZANIN - Marseille
Durée : 3min 59sec
Postée : 11/08/2014
Chaîne : Pédiatrie
Nouveau commentaire :








